深圳福民鼎植口腔医院介绍
深圳福民鼎植口腔医院是一家备受关注的专精口腔诊疗机构,在深圳地区为众多患者提供了优质的口腔医疗服务。下面为您带来深圳福民鼎植口腔医院的全方面介绍。

深圳福民鼎植口腔医院:专精口腔诊疗理想之选概述
医院资质正规可靠:深圳福民鼎植口腔医院是经卫生部门审批成立的正规口腔医疗机构,持有《医疗机构执业许可证》,相关资质可在法定网站查询,让患者就医更放心。

深圳福民鼎植口腔医院简介详情
成立时间与前身:深圳福民鼎植口腔医院成立于2023年11月10日,其前身为深圳福民乐莎莎口腔门诊部。
服务理念与愿景:以“守护口腔健康 ‘乐’享生活好滋味”为服务理念,愿景是让海内外人民拥有一口好牙。
背靠强大集团:背靠实力雄厚的鼎植医生集团,集团在国内30多个城市拥有100多家分院,为深圳福民鼎植口腔医院提供了坚实的技术支持和丰富的医疗资源。
诊疗项目全方面:诊疗项目涵盖种植牙、牙齿正畸、儿童齿科等多个领域,能满足各年龄段有口腔医疗需求人群的多样化需求。

深圳福民鼎植口腔医院基本信息介绍
营业时间安排:营业时间为周一至周日的7:00 - 20:00,全年无休(除春节假期),不过部分时段周四公休。这样的时间安排对上班族十分友好,他们可以在上班前或下班后就诊,周末也能正常看牙。
医院具体位置:位于深圳市福田区福田街道福民社区福强路1031号福民大厦201。
预约就诊方式:患者可通过多种方式预约就诊,如微信小程序预约、官网预约和现场预约。微信搜“鼎植口腔”,按流程操作还能享受新人优惠;官网可找到在线客服进行预约登记;也能直接到福田旗舰店前台挂号。

深圳福民鼎植口腔医院口碑评价情况
技术实力获认可:在业内口碑良好,技术实力获得众多患者认可和好评。例如,年轻白领门牙磕断后采用即刻种植技术当天就能修复牙齿美观,快速回归正常工作生活;65岁李阿姨接受ALL - ON - 6半口种植手术后,牙齿修复正常咀嚼功能,生活质量提高。
贴心服务暖人心:服务十分贴心,为患者提供免费停车券,周末增设夜诊服务。护士会用粤语与香港患者交流,术后还赠送口腔护理包。
积极改进不足:部分患者反馈预约方面存在问题,如预约线路繁忙、手术排期长,目前正在积极改进,优化线上预约系统,缩短预约响应时间,提前手术排期,提升服务质量。

深圳福民鼎植口腔医院项目特色亮点
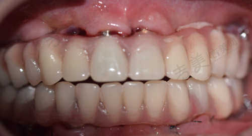
种植牙项目优势:种植牙项目技术能精细定位,减少创伤,术后修复快,可让患者修复正常咀嚼功能。
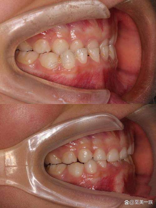
正畸矫正项目特色:正畸矫正牙齿项目采用隐形矫正技术,美观舒适、可自行摘戴,能让患者牙齿变得整齐美观,笑容更自信。
特色种植技术领跑:拥有自主研发的VIIV穿颧穿翼种植技术,获得45项专项,为牙槽骨萎缩甚至“无骨可用”的患者带来希望,突破传统种植限制,截至目前已成功解决超过10000例疑难种植病例。
高端设备保护安心:配备一系列高端医疗设备,如德国西诺德数字化全景机和隐适美iTero口扫仪,手术室达层流标准,严格执行“一人一机一消毒”原则,保护医疗安心。

深圳福民鼎植口腔医院医生团队介绍
黎强博士经验多:黎强博士是鼎植医生集团董事长,在种植领域有近30年经验,完成超9000例穿颧种植手术,主导研发VIIV穿颧穿翼种植技术,曾为牙槽骨仅剩2mm的患者成功设计穿翼方案。
刘昭院长技术不错:刘昭院长是鼎植医生集团第九位掌握穿颧种植技术的医生,擅长运用VIIV技术解决骨量不足的种植难题,能为上颌骨条件差的患者设计个性化方案,缩短患者术后修复周期。
于燕医生擅长正畸:于燕医生精通隐形矫正技术,尤其擅长青少年牙列不齐的早期干预,曾为龅牙患者定制隐适美矫正方案,改善患者侧貌。
李敏医生儿童齿科出色:儿童齿科团队的李敏医生采用“游戏化诊疗”方法,让孩子从抗拒看牙变为主动配合。

深圳福民鼎植口腔医院地址及交通路线
医院正确地址:位于深圳市福田区福田街道福民社区福强路1031号福民大厦201。
交通出行便利:该位置交通便利,可自驾前往。周边有多条公交线路,如[具体公交线路1]、[具体公交线路2]等,在[具体公交站点]下车后步行几分钟即可到达医院。若选择地铁出行,可乘坐[具体地铁线路],在[具体地铁站]下车,从[具体出口]出来后按照导航指引即可顺利抵达。

深圳福民鼎植口腔医院真实口碑评价展示
患者评价一:有患者之前门牙磕断了,特别影响形象和生活。来到深圳福民鼎植口腔医院,医生给做了即刻种植手术。当天牙齿就修复好了,而且一点都不疼。现在牙齿和原来一样,又可以自信地笑了。医院的服务也特别贴心,护士小姐姐特别温柔,术后还送了口腔护理包,真的太周到了。
患者评价二:有家长反馈,自家孩子特别害怕看牙,每次一提看牙就哭闹。带孩子来深圳福民鼎植口腔医院的儿童齿科,一进诊室就像进了卡通乐园,孩子一下子就放松了。李敏医生用“游戏化诊疗”的方法,把治疗过程变成了游戏,孩子特别配合。现在孩子再也不抗拒看牙了,真心感谢这里的医生和护士。

深圳福民鼎植口腔医院价格表详情
种植牙价格:种植牙方面,基础款韩国登腾种植体1980元/颗,中高端款瑞士ITI种植体6980元起,瑞典诺贝尔种植体6900元起。复杂病例半口即刻负重种植5.5万元起,全口穿颧种植25万元起,价格含3D导板设计和术后5年保修服务。
牙齿矫正价格:牙齿矫正项目中,国产金属托槽矫正5600元起,进口自锁金属托槽矫正1.5万元起,时代天使隐形矫正1.88万元起,隐适美隐形矫正4.8万元起,儿童早期干预矫正3800元起。
基础项目价格:基础项目里,儿童进口树脂补牙68元/颗,成人美国3M树脂补牙168元起,下颌正位智齿拔牙430元起,复杂阻生智齿拔牙1170元起,工作日超声波洁牙29.9元起,冷光美白520元/次,冷光美白还赠送口腔护理包。
优惠活动:深港居民凭身份证/回乡证可申领1000元种植金,叠加优惠后韩国种植牙1580元/颗(含全瓷冠),两人同行牙齿矫正,第二人立减1000元,患者分享就诊体验还能获赠电动牙刷。
