周必定医生介绍
周必定医生是口腔领域备受关注的一位专精医师,在江苏淮安诺贝尔口腔医院担任主治医师,为众多患者解决了口腔问题。接下来,我们将从多个方面详细了解周必定医生。

周必定医生技术水平如何
周必定医生毕业于第四军 医 大学口腔医学系,接受过系统、专精的口腔医学教育。他拥有丰富的口腔医疗经验,从业已达十多年。凭借不错的技术和深厚的基本功,能出色处理各类口腔整形问题。他擅长非贵金属烤瓷牙、全瓷牙、二氧化锆全瓷牙以及铸瓷烤瓷牙等项目,其专精技术值得信赖。

周必定医生手术费用详情
周必定医生开展的烤瓷牙手术费用因材质不同而有差异。贵金属烤瓷牙350元起/颗,较为实惠;钴铬合金烤瓷牙558元起/颗,经济耐用;国产爱尔创全瓷牙998元起/颗,是高性价比美学修复之选;二氧化锆烤瓷牙1500元起/颗,坚固耐用;爱迪特全瓷牙1800元起/颗,美学性能佳;德国威兰德全瓷牙1980元起/颗,实现了强度与美学的结合;3M - Lava氧化锆瓷冠3980元起/颗,作为有名品牌价格较高。此外,淮安口腔医院金属烤瓷牙380元起,纯钛烤瓷牙500元起,美加全瓷牙冠880元起,爱尔创全瓷980元起,德国威兰德全瓷1500元起,德国VITA全瓷牙2500元起,LAVA全瓷牙3000元起。具体费用还会受牙齿数量、手术难度和患者体质等因素影响。

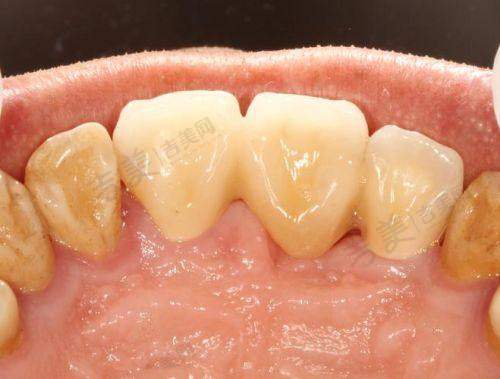
周必定医生手术患者感受
有患者在周必定医生这里做了二氧化锆全瓷牙手术。手术过程中,周医生操作非常熟练、细致,动作特别轻柔,基本没什么疼痛感。术后刚装上烤瓷牙时,牙齿有点敏感,吃不了太凉或太热的东西,但这也是正常现象。按照周医生的嘱咐,患者在饮食上特别注意,避免吃硬物和粘性大的食物。大概过了一两周,牙齿敏感的情况就好多了。现在烤瓷牙和患者的真牙特别贴合,外观也特别自然,就跟自己的牙齿一样,患者对这次手术成效非常满意。

周必定医生真实评价情况
特别多患者对周必定医生评价颇高。他丰富的从业经验让患者十分放心,在手术前,他会耐心地和患者沟通,详细讲解各种烤瓷牙的优缺点,帮助患者选择更适合的方案。手术时,他技术不错,操作精细,能较大程度减少患者的痛苦。术后,周医生还会认真叮嘱患者注意事项,关心患者的修复情况。不少患者都表示,周医生不仅专精能力强,服务态度还好,是一位值得信赖的口腔医生,纷纷向身边有口腔问题的人推荐他。

周必定医生是否有资质
周必定医生具备专精的执业资质。他毕业于第四军 医 大学口腔医学系,接受过系统、专精的口腔医学教育。经过多年在国有三等甲医院的工作历练,积累了丰富的临床经验。2009年,他被蚌埠医学校聘为副医生,这也证明了他在口腔医学领域的专精水平和学术能力。如今,他作为江苏淮安诺贝尔口腔医院的主治医师,凭借专精的技能和良好的口碑,为众多患者解决了口腔问题。

周必定医生挂号预约方式
若想预约周必定医生的诊疗服务,患者可以前往淮安市清江浦区北京北路36号的医院现场挂号处,在医院的正常营业时间,即周一至周日的8:30 - 17:30,直接预约周必定医生的号。
